関連記事
京大、iPS細胞でパーキンソン病の症状改善 猿に移植して確認

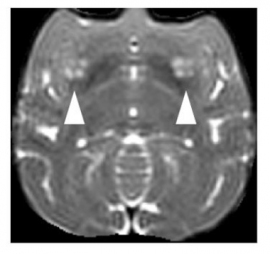
移植後のサルのMRI画像(矢印が細胞移植部分を示す)(写真: 京都大学 iPS細胞研究所の発表資料より)[写真拡大]
京都大学の高橋淳教授らの研究グループが8月31日、ヒトiPS細胞由来の細胞により、パーキンソン病になった猿の症状が軽減されたと発表。iPS細胞を応用したパーキンソン病の細胞移植療法の治験に向け、申請準備を進めていく考えを明らかにした。
【こちらも】京大がヒトiPS 細胞から高効率に血管細胞を作る方法を開発
パーキンソン病では、脳内のドパミン神経細胞が減少するために症状が現れる。そこで脳にiPS細胞由来のドパミン神経前駆細胞を移植し、症状を軽減させるという治療法の開発が試みられた。
今回、パーキンソン病モデルの猿の脳に細胞を移植したところ、脳内に生着し機能していることが確認され、症状の軽減も認められた。さらに、移植してから少なくとも2年の間、腫瘍を形成することもなかった。この結果は、移植療法の有効性と安全性を示しているという。
従来のパーキンソン病の治療法である、薬物や電極を用いる治療では、ある程度症状を改善できても、神経細胞自体の減少は食い止められなかった。移植療法によって細胞減少に歯止めがかけられる、という期待はあったが、移植した細胞が長期間機能するかどうかが懸念され、その検証を行う必要があった。
だが、これまで報告されていなかった霊長類モデルでの長期解析の結果が出たことにより、治験への道は開けた。また、健康な人由来のiPS細胞とパーキンソン病患者由来のiPS細胞、どちらから作製した細胞であっても安全性は高いと判明したため、移植方法にもより広い可能性が見出せるという。
再生医療においてはある個体由来の細胞や組織を同じ個体に移植する自家移植、同種の別個体に移植する他家移植が想定されている。ただ、自家移植の場合はかかる時間とコストが大きく、疾患に遺伝的背景があると移植後も再度同じ疾患にかかる可能性があった。その点での不安も、解消されるかもしれない。(記事:小椋恒示・記事一覧を見る)
スポンサードリンク
