関連記事
ラジオを聞くと頭が良くなる、脳科学者がMRI解析から証明 右脳の成長も

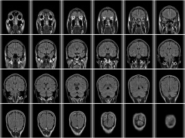
radikoがラジオ聴取と脳の成長の関係をMRI脳画像診断を用いて解明。ラジオを聴き続けることで記憶系脳が最大で2.4倍、聴覚系・理解系脳が最大で2倍成長[写真拡大]
スマホや様々なモバイル・デバイスの普及によってメディアが多様化しラジオを聞く機会は格段に少なくなっているのではないか。かつては受験勉強をする若者や店舗などで良く聞かれたものだ。
デジタル化が進んだ社会の中でラジオについてある俗説があるそうだ。それは「ラジオを聴くと頭がよくなる」だ。この俗説が俗説ではなく科学的な根拠を持ったものであると脳科学者の研究によって明らかにされた。
インターネットで全国のラジオを配信しているradikoが、この俗説の科学的真偽を実証するため「脳の学校」代表の脳科学者、加藤俊徳医師の監修のもと大学生8名を対象に「ラジオを聴き続けると脳にどのような影響を与えるのか」についてMRIを用いて検証した。
聴覚情報の伝達経路は「理解系」、「聴覚系」、「言語記憶系」、「イメージ記憶系」などの領域の連携で成り立っている。この実験によって、ラジオを聴き続けることにより記憶系脳の領域が最大で2.4倍、聴覚系および理解系脳領域が最大で2倍成長し、「ラジオを聴く」という行為が脳の成長に有益な働きをもたらしていることが実証された。
ラジオを聞いている被験者のMRI画像をみると、左側頭葉にある聴覚系領域で活性エリアが最大で2倍に拡大していることが確認された。聴覚領域は左脳に存在するがMRI画像から右脳の記憶系領域の活性エリアも最大で2.4倍拡大しているのが確認できイメージ力も活性化されているようだ。
実験結果を細かに見ると、左脳の記憶系脳番地の成長が観測された被験者は8人中3人。聴覚系・理解系脳番地の成長が観測された被験者は8人中4人などとなっている。ラジオを聴き続けることは当然、左脳にある言語記憶系を刺激するであろうと予測されるが、この実験ではその予測を超えて、視覚的な想像力が換気されていることを示す右脳の記憶系脳領域を成長させることを明らかにしている。
人間の脳は人の話を聞くと、まず聴覚系で音声としての言葉を認識し、理解系でその意味を理解する。その後、思考系や感情系で判断を下し伝達系を通して自分の意思を伝えたり運動系で行動を起こしたりする。
レポートでは「音声情報だけのラジオを聴き続けることにより、言葉を想像力で補完する脳の働きが強化されることで、未発達の人が多い右脳の記憶系脳番地が活性化したと考えられる」と指摘している。加藤医師は「子供の学習力アップ」や「脳の老化防止」にもラジオ聴取が有効だとしている。(編集担当:久保田雄城)
■関連記事
・急増するテレワークのメリット、デメリット。効率よく仕事をするための秘訣は照明にあり
・東京オリンピックでは国内最多の600枚! 需要が拡がるデジタルサイネージ
・発達障害・自閉スペクトル、嗅覚脳波に差異。支援の手掛かりに ~東大など
※この記事はエコノミックニュースから提供を受けて配信しています。
スポンサードリンク

