IT・サイエンス
2016年6月9日 04:51
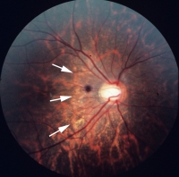
失明のリスクのある病的近視になる小児の視神経周囲の画像(→部分がびまん性萎縮)(東京医科歯科大学発表資料より)
スポンサードリンク
老化しにくいハダカデバネズミ、老化細胞を除去する仕組み解明 熊大ら
人類の祖先は恐竜と共存し、恐竜絶滅を生き延びたか 英ブリストル大学らの研究
放流で魚は増えず、長期的には悪影響も 長期データから分析 北大ら
妊娠中の睡眠時無呼吸が子供に与える影響、動物実験で確認 東京医科大ら
ネズミも音楽でダンス 社交性の源、ビート同期の脳科学メカニズム解明 東大
ダイエットで起こるリバウンドの仕組みを解明 岐阜大ら
「思い出せないこと」と「忘れること」の違いを遺伝子レベルで解明 九大
恐竜絶滅が起きた時期に複数の小惑星が衝突していた可能性 アリゾナ大の研究
妊娠中の母親の運動、子の肥満を防ぐメカニズムを解明 東北大ら
30m超えの巨大津波、400年間に高頻度で発生 周期は不規則 東北大など
宇宙が大地震を誘発か? 月や太陽の潮汐効果と地震の関係
2022年は大地震が発生か 太陽黒点と大地震の気になる関係