IT・サイエンス
2021年2月7日 16:03
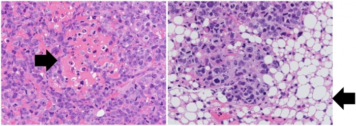
TNIK阻害薬により骨肉腫を脂肪細胞へ変化させる様子(画像: 国立がん研究センターの発表資料より)
スポンサードリンク
実機稼働で解けない問いが消える? 量子コンピュータが創薬・物流・金融を塗り替える破壊力
自動車開発を「数週間から数日」へ短縮 NTNが挑むベアリングトルクの理論革新と省エネの正体
がん治療に光明か? ブラジル産グリーンプロポリスに「がん幹細胞性」を低下させる可能性
次世代チップ「2ナノ」への挑戦 ラピダス支援と日本が描く未来の設計図
蜂蜜の咳止め効果を科学的に解明! 医薬品や機能性食品への応用に期待
電子機器の「発熱問題」に革新技術! 帝人フロンティアが放熱塗料「ラジエックス」で開拓する次世代の熱設計
12V〜48Vアプリの課題を解決! モータ市場の進化を支える最新ドライバIC
イメージセンサ市場に新たな可能性 低VFかつ低IR 保護用ショットキーバリアダイオードの開発
ダイハツとダイハツメタル、バイオマス燃料の製造に成功 鋳造工程での使用を開始
EV市場席巻する高性能部品となるか? ロームとシェフラーの新型SiCインバータブリック
バッテリー長持ちの鍵はオペアンプにあり? 日本の技術が小型化と低電流を両立
難病アミロイドーシスを光で治療 東大らの研究