地球生命の起源は、DNAが宇宙に既に存在しておりそれが地球に飛来し、進化を遂げ現在に至るとする説(パンスペルミア仮説)と、そもそも地球にはDNA誕生の好条件が偶然そろっていて幸運にも地球でDNAが誕生し、現在に至るとする説のどちらが正しいのか、現時点では分かっていない。
04/07 17:18
熊本大学、科学技術振興機構などは11日、ねずみの仲間で、非常に老化しにくいハダカデバネズミについて、その体内で老化細胞を除去する仕組みを解明したと発表した。
07/15 15:19
人類の祖先である有胎盤哺乳類の出現は恐竜滅亡後なのか、それとも恐竜が生きていた時代にはすでに現れていたのかという疑問については、従来研究者の間で意見が分かれていた。
06/29 16:13
人間は冬眠をしない生物だが、BRIEF RESEARCH REPORTに掲載された最新の研究によると、寒い時期にはより多くの睡眠が必要だった可能性があるらしい。
02/22 11:59
北海道大学と北海道立総合研究機構は9日、魚のふ化放流は放流対象種を増やす効果はなく、その種を含む生物群集を減らす結果につながるとする研究を発表した。
02/14 08:29
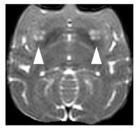
眠っている間に呼吸が止まってしまう睡眠時無呼吸症候群は、睡眠が浅くなってしまうだけでなく、様々な健康への影響があることが分かっている。
02/05 16:39
立命館大の研究チームの発表によると、適量のカフェインを摂取することで、陸上100メートル走のタイムが短縮できることが分かったらしい。
12/07 16:53
生命の起源を解く重要なヒントとなるという「海底熱水-液体/超臨界 CO2 仮説」を JAMSTEC の研究チームが提唱している。
11/21 08:09
九州大学は28日、線虫を使った実験によって、記憶自体はあるが思い出せないことと、記憶自体が消去され忘れることの違いを遺伝子レベルで解明したと発表した。
09/29 16:39
日焼け止め剤の有効成分として使われるオキシベンゾンは無害な物質であるが、サンゴが代謝することで有害物質に変わることを示す研究成果をスタンフォード大学の研究グループが発表していう。
05/12 11:14
最近は未来人を名乗る人物の予言情報が、世間で注目されているようだが、理論的にタイムトラベルは可能なのだろうか?各種分野の専門家による情報発信サイトである豪州の「the conversation」で、カナダ・ブロック大学のバラク・ショシャニー助教授が、この疑問に対する解説記事を発表している。
04/27 11:21
広島大学と東北大学の研究チームは1日、宮城県南三陸町でイカに似た古代生物「ベレムナイト」の化石を発見したと発表した。
04/09 08:49
過去の人類史では様々な人類が出現してきたが、現存するのは5万年前頃に分布拡大したホモ・サピエンスのみである。
02/01 11:00
