動物アレルギー克服へ 光触媒で原因物質の分解に成功 東大ら

2023年9月5日 08:26

 犬や猫など動物に対するアレルギーは、動物の体から出たフケなどが、アレルゲンと呼ばれるアレルギーの原因物質になっていると言われている。東京大学、カルテック、犬山動物総合医療センターの研究グループは、このアレルゲンを酸化チタンの光触媒の働きで分解し、アレルギーを起こさせなくする仕組みを世界で初めて解明した。

【こちらも】人間はなぜ犬を愛するのか、遺伝学の分野から解析 スウェーデンの研究

 将来ペットと共に過ごす生活を希望する人々の健康が守られ、飼育途中で発症したアレルギーのためにペットを手放すことを避けられるようになることが、期待できるだろう。

 今回の研究は、東京大学大学院農学生命科学研究科の間特任教授を研究代表として行われたもので、その成果は、8月21日発行の雑誌「Toxics」に掲載された。

 動物を家族として迎え入れたからには、その一生をともにしたいと多くの飼い主は思っていることだろう。だが飼い始めてから動物アレルギーを発症してしまった結果、やむをえず里親募集や保護施設への譲渡によって手放さざるをえないことがある。中には保健所での殺処分という悲しい結果になってしまうこともある。

 コロナ禍の中、ステイホームやテレワークのため、家で過ごす時間が長くなったことで、犬や猫などを家族に迎えた家庭が多かったという。またアニマルセラピーなど、動物に触れ合うことによる治療の効果も知られている。

 動物を扱う仕事についている人は、日々動物と接する必要ある。一方で動物アレルギーを持つ人は全人口の約10~20%いると言われている。動物アレルギーを発症したために、里親募集や保護施設への譲渡によって手放さざるをえない事例や、保健所などでの殺処分が社会問題にもなっている。

 動物アレルギーの原因となるのは、動物の毛、皮膚の破片、唾液や尿に含まれているタンパク質である。これらがアレルギーの原因物質、つまりアレルゲンとして人間の皮膚についたり、空気中に舞ったものを吸い込むことで、かゆみや赤みなどの皮膚症状や、くしゃみ、鼻水、喘息などの呼吸器症状を引き起こす。

 研究グループは、光触媒によってこれらのペットアレルゲンを分解できるかどうかについて検討した。光触媒とは、光をあてることで、通常ではゆっくり進むはずの化学反応を劇的に進行させる物質のことである。

 例えば、「酸化」の1つである金属に酸素が結びついて錆びていく現象は、ゆっくり時間をかけて起こる。ところが触媒があることで、一瞬で酸化を起こさせることができるのだ。代表的な光触媒である酸化チタンは、光を吸収することで強力な酸化還元反応を示す。この酸化チタンがアレルゲンにどんな作用をするか調べた。

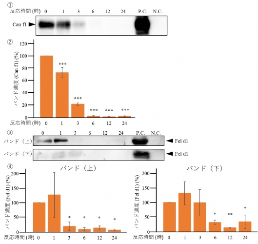
 酸化チタンに犬や猫の皮屑からアレルゲンを抽出した液を滴下して、405nmの可視光線をあて、0から24時間反応させた。すると24時間処理したものでは90%以上のアレルゲンが分解されていた。また乾燥したアレルゲンを同様に酸化チタンと反応させた時も、24時間で90%以上分解されていることがわかった。

 さらにこれらの分解物は、アレルギーの原因となるIg Gと反応しなくなっていた。つまりすでにアレルギーの原因物質ではなくなっていることが判明したのだ。

 これらの研究結果から、空気清浄機などに酸化チタンを搭載することで、空気中に舞っているアレルゲンも分解除去することができると考えられる。次亜塩素酸のように人体に悪影響がないことがわかっている光触媒を用いた空間清浄によって、動物と人の共生のバリアフリー化が進み、安心して共存していけるようになることに期待したい。(記事:室園美映子・記事一覧を見る

関連記事

最新記事