脳の細胞アストロサイトが病変脳内の不要物質を「食べる」ことが判明

2017年6月27日 19:20

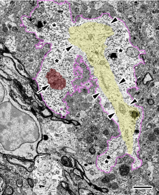
 山梨大学、自然科学研究機構生理学研究所、慶應義塾大学、新潟大学、群馬大学、そして日本医療研究開発機構らからなる共同研究グループが、脳卒中(脳梗塞)後の脳内において、グリア細胞の一種アストロサイトが貪食性アストロサイトに変容し、細胞の死骸などの不要物質を「食べる」性質を獲得することを発見した。

【こちらも】クモの猛毒から脳卒中ダメージを抑えるというタンパク質が発見

 この事実は、脳梗塞に対し脳そのものがある種の自然治癒力を持つことと、それが脳梗塞の予後に影響している可能性を示唆する。

 脳卒中というのは、脳梗塞、脳出血、くも膜下出血等の脳血管障害の総称である。国内の患者数は約120万人であり、日本の死亡原因の第4位に位置し、後遺症が残りやすいなどの点からも重篤な疾患であるといえる。

 予防や治療ももちろん重要だが、脳卒中においては、良好な予後を確保する戦略が、医学的にも、社会的な面からも重要であると目されている。しかし現状では、脳梗塞の病後における有効な予後の確保手段はほとんど発見されていない。

 人体には(部位によって様々ではあるが)基本的には自然治癒能力がある。脳の自然治癒機能も、これまでまったく知られていなかったわけではない。脳には、ミクログリアと呼ばれる脳内免疫担当細胞がある。

 ミクログリアは、非常に応答性の早い細胞で、脳の疾患、外傷、感染による異物侵入などに際し、当該部位に集合して有害物質、遺物などを捕食する。ただし、ペナンブラ領域(梗塞の辺縁部)におけるその働きはこれまで明瞭でなかった。

 今回の研究で分かったのは、既存の知見では静的な、神経細胞を補助する役割を持つだけの存在と見られていたグリア細胞の一種であるアストロサイトが、このペナンブラ領域において、脳の修復にも関与しているかもしれない、ということである。

 なお、研究の詳細は、Nature Communicationsオンライン版に掲載されている。今後の研究展望としては、アストロサイトに影響を及ぼすことのできる薬理作用のある化学物質を探索していきたいという。(記事:藤沢文太・記事一覧を見る

関連記事

最新記事